產品分類
瀏覽歷史
商品描述:
商品屬性
商品描述:
商品屬性
本公司專業代理ATCC細胞,提供售前售后一條龍服務,若要獲取詳細說明書或價格信息,請咨詢在線客服。
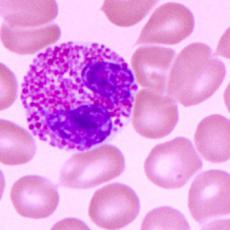
產品名稱 生長特性 貨號 人外周血嗜堿性白血病細胞;KU812 貼壁生長 BJ-X10157 細胞名稱 人外周血嗜堿性白血病細胞;KU812
形態特性 骨髓母細胞
生長特性 懸浮生長
特征特性 從一位慢性髓性白血病患者暴發期的外周血建立了KU812細胞株。 這些細胞至少有一個Ph1(費城)染色體。 這株細胞有一些嗜堿性細胞的標記(如Fc 受體,堿性顆粒,生成組胺),而淋巴標記陰性。
培養條件 RPMI 1640 (w/o Hepes) 優質胎牛血清,10%
傳代方法 1:2。3天內可長滿。
傳代情況 PN5
凍存條件 完全培養基+8%DMSO
支原體檢測 陰性
【培養指南】
人外周血嗜堿性白血病細胞;KU812對于貼壁細胞,傳代可參考以下方法:1. 棄去培養上清,用不含鈣、鎂離子的PBS潤洗細胞1-2次。2. 加2ml消化液(0.25%Trypsin-0.53mM EDTA)于培養瓶中,置于37℃培養箱中消化1-2分鐘,然后在顯微鏡下觀察Ⅱ型肺泡上皮細胞|細胞消化情況,若細胞大部分變圓并脫落,迅速拿回操作臺,輕敲幾下培養瓶后加少量培養基終止消化。3. 按6-8ml/瓶補加培養基,輕輕打勻后吸出,在1000RPM條件下離心4分鐘,棄去上清液,補加1-2mL培養液后吹勻。4. 將細胞懸液按1:2到1:5的比例分到新的含8ml培養基的新皿中或者瓶中。【細胞凍存】待細胞生長狀態良好時,可進行293/HEK-293細胞|細胞凍存。貼壁細胞凍存時,棄去培養基后加入少量胰酶,細胞變圓脫落后,加入約1ml含血清的培養基后加入凍存管中,再添加10%DMSO后進行凍存。懸浮細胞凍存時,應將細胞收集,1000RPM條件下離心4分鐘,少量保存上清液(防止細胞吸走),加入部分新鮮培養基,加入到凍存管中,在凍存管中加入10%DMSO后進行凍存。【復蘇的原則】快速融化:必須將凍存在-196℃液氮中的細胞快速融化至37℃,使細胞外凍存時的冰晶迅速融化,避免冰晶緩慢融化時進入細胞形成再結晶,對細胞造成損害。復旦細胞庫全國各地均可發貨,全國統一價格,本公司出售的所有細胞僅供科研使用。
細胞培養操作規程:一.養基及培養凍存條件準備:1)準備RPMI-1640培養基(RPMI-1640:GIBCO,貨號21875-091),90%;優質胎牛血清,10%。2)培養條件: 氣相:空氣,95%;二氧化碳,5%。 溫度:37℃,培養箱濕度為70%-80%。3)凍存液:90%血清,10%DMSO,現用現配,液氮儲存。二.細胞處理:1)復蘇細胞:將含有1mL細胞懸液的凍存管迅速放入37℃水浴中(水面要低于凍存管蓋部)搖晃解凍,移入事先準備好的含有4mL培養基的15ml離心管中混合均勻。在1000RPM條件下離心4分鐘,棄去上清液,加入1mL培養基后吹勻。然后將所有細胞懸液移入含有5ml培養基的培養瓶中培養過夜。第二天換液并檢查細胞密度。2)細胞傳代:如果細胞密度達80%-90%,即可進行傳代培養。對于懸浮細胞,傳代可參考以下方法:方法一:收集細胞,1000RPM,常溫條件下離心5分鐘,棄去上清液,補加1-2mL培養液后吹勻,將細胞懸液按1:2到1:5的比例分到新的含8ml培養基的新皿中或者瓶中。
細胞培養的優點:人外周血嗜堿性白血病細胞;KU8121研究的對象是活細胞在實驗過程中,根據要求可始終保持細胞活力,并可長時間監控、檢測甚至定量評估一部分活細胞的情況,包括活細胞的形態、結構、生命活動等。2.研究條件可以人為控制pH、溫度、氧氣、二氧化碳、張力等物理化學的條件,可以根據實際需要進行人為的控制,同時,可以施加化學、物理、生物等因素作為條件而進行實驗觀察,這些因素同樣可以處于嚴格控制之下。3.研究的樣本可以達到比較均一性通過細胞培養一定代數后,所得到的細胞系則可以達到均一性而屬于同一類型的細胞,需要時,可采用克隆化等方法使細胞達到純化。4.研究內容便于觀察、檢測和記錄采用各種研究技術:如倒置生物顯微鏡、熒光顯微鏡、電子顯微鏡、流式細胞術、激光共焦顯微鏡、免疫組織化學、原位雜交、同位素標記等各種儀器設備記錄方式可采用攝影照片、縮時電影、電視等多種手段。5.研究的范圍比較廣泛應用的學科領域較為寬廣,如細胞學、免疫學、腫瘤學、生物化學、遺傳學、分子生物學等;適用的對象范圍廣,從低等動物到高等動物,一種動物的不同年齡階段以及不同組織,都可進行有針對性的研究。6.研究的費用相對較經濟可提供大量、同一時期、重復性好的、生物學性狀相似的實驗對象。
友情鏈接:

.jpg)

